Aktuell & Wichtig
Eie Auswahl an Informationen und Mitteilungen für Sie aufbereitet und zur Verfügung gestellt.
Änderung in der Geschäftsordnung der Wissenschaftspreise
Der Vorstand der ÖGPath/IAP Austria hat in seiner letzten Sitzung eine Änderung in den Geschäftsordnungen der Wissenschaftspreise beschlossen.
Wechsel im Sekretariat der ÖGPath/IAP Austria
Im Rahmen der Restrukturierung und Modernisierung der ÖGPath/IAP Austria hat unsere Gesellschaft in den letzten Monaten einen weiteren Schritt in Richtung Professionalisierung unserer Abläufe getan.
Österreichs wissenschaftlicher Beitrag zu COVID-19
Die Pathologie hat mit der Obduktion eine alte und bewährte Methode, Organveränderungen sichtbar zu machen und Todesursachen zu entschlüsseln, wobei eine Reihe moderner Techniken und Technologien als wesentliche Unterstützung herangezogen werden können.
Pressemitteilung: Obduktionen helfen COVID-19-Erkrankung besser zu verstehen
Die ÖGPath/IAP Austria hat eine Presseaussendung zur Bedeutung der Obduktion für die Erforschung der neuen COVID-19 Krankheit veröffentlicht.
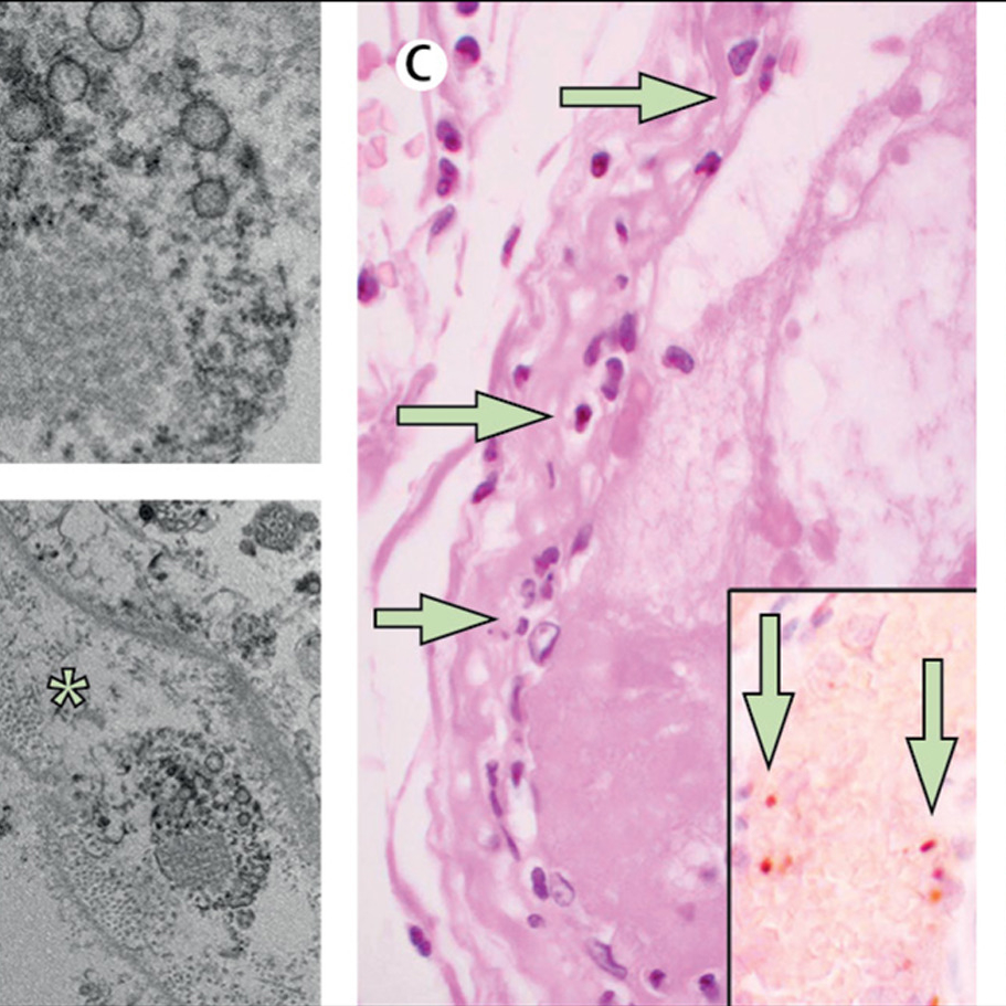
COVID-19: Auch eine systemische Gefässentzündung
Aus aktuellem Anlass möchten wir auf zwei neue Paper unserer Schweizer Kollegen hinweisen, das einen bisher wenig beachteten Aspekt der COVID-19 Krankheit beleuchtet.
ESP/IAP Congress in Glasgow verschoben
Die European Society of Pathology (ESP) hat heute bekannt gegeben, dass der gemeinsame ESP/IAP Congress in Glasgow wegen der COVID-19 Pandemie auf 5.12.-9.12.2020 verschoben wird.