Aktuell & Wichtig
Eie Auswahl an Informationen und Mitteilungen für Sie aufbereitet und zur Verfügung gestellt.
Gemeinsames Meeting mit der IAP Arab Division
Wir freuen uns sehr, dass wir es geschafft haben, dieses Treffen als gemeinsames Treffen mit unseren Freunden und Kollegen der IAP Arab Division zu organisieren. Dies war das erste Mal, dass wir ein gemeinsames Treffen mit der außereuropäischen IAP-Abteilung organisiert haben.
Rückblick auf die Frühjahrstagung 2021 der ÖGPath/IAP Austria
Aufgrund der COVID 19-Pandemie stand bereits sehr früh fest, dass die heurige Frühjahrstagung der ÖGPath/IAP Austria ausschließlich virtuell stattfinden können würde.
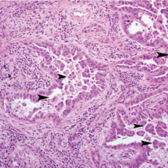
AG Pulmopathologie der ÖGPath – Treffen anlässlich der Frühjahrstagung 2021 der ÖGPath – IAP Austria
Die AG Pulmopathologie hat ihr traditionelles Treffen vor der FJT21 organisiert, diesmal als virtuelles Treffen am 8.4.2021 von 14 bis 18 Uhr. Zum ersten Mal war es auch ein gemeinsames Treffen mit unseren Kollegen und Freunden der IAP Arab Division
Presseaussendung: Frühe Diagnose und Therapie rettet Leben und spart Kosten
Im Rahmen der Zusammenarbeit mit dem PRAEVENIRE Gesundheitsreform kam es zu einer gemeinsamen Presseausssendung zum Thema "Diagnose und Therapie"
Stellungnahme zur Öffnung des MTDG-Bereichs für NaturwissenschafterInnen
Basierend auf einer Anfragebeantwortung von Prof. Aigner aus dem Bundesministerium für Gesundheit hat der Vorstand der ÖGPath eine Stellungnahme betreffend der Öffnung des MTDG-Bereichs für NaturwissenschafterInnen abgegeben.
ÖGPath-Pannonian Online Course: Pathology of the Large Bowel
Die ÖGPath/IAP Austria freut sich bekannt zugeben, dass am 7.-8.5.2021 in Zusammenarbeit mit der Pannonian GI Working Group ein Online Kurs zum Thema "Pathology of the Large Bowel" angeboten wird.